Kieferorthopädische Behandlung von Kindern und Jugendlichen

Frühzeitige kieferorthopädische Betreuung für Kinder & Jugendliche – wir sorgen für optimale Voraussetzungen für gesundes Wachstum der Zähne und Kiefer.

Für kleine Zähne – ganz großes Lächeln

Behandlungsmöglichkeiten

Frühbehandlung

Die erste Untersuchung sollte zwecks Frühdiagnose im Alter zwischen 4 und 6 Jahren stattfinden, nach dem Durchbruch der ersten bleibenden Zähne. In diesem Alter können schädliche Funktionsstörungen wie Kreuzbiss, offener Biss, ungünstige Gewohnheiten wie Daumenlutschen oder Lispeln erkannt und behandelt werden.

Unterbewusste Gewohnheiten wie Mundatmung, falsche Zungenlage beim Schlucken, Lippensaugen oder sonstige Habits (wie z.B. Daumenlutschen, Schnuller) führen dazu, dass die Kiefer sich nicht physiologisch entwickelt können!
So kommt es nicht nur zu Fehlstellungen an Zähnen und Kiefern, sondern auch zu Atmungs- und Körperhaltungsproblemen und gestörten Gesichtswachstum.

Bei einer Frühbehandlung können verschiedene Behandlungsgeräte eingesetzt werden, abhängig von den kieferorthopädischen Problemen des Kindes. Einige der gebräuchlichsten Behandlungsgeräte sind herausnehmbare Zahnspangen, Platzhalter (z. B. um Lücken durch vorzeitigen Milchzahnverlust zu halten) oder sogenannte funktionskieferorthopädische Zahnspangen (z. B. Bionator).

Die besten Ergebnisse werden am schnellsten und am bequemsten mit dem AngelAligner-KID System erreicht. 

Feste Zahnspange für Gaumennahterweiterung wird bei starken skelettalen Kieferfehlstellung (Kreuzbiß) verwendet. Die unsichtbar am Gaumen befestigte Apparatur kann den Oberkieferknochen und das Mittelgesicht schnell und schmerzlos erweitern.

Unsichtbare Schienen AngelAligner®

Die unsichtbare Behandlung mit AngelAlign  bietet die Möglichkeit zur Zahnkorrektur für jedes Alter. Angefangen bei Kindern ab ca. 6 Jahren, bei Jugendlichen und Erwachsenen jeden Alters. Regelmäßig setzt Ihr Kind selbstständig ein neues Aligner-Paar ein und somit bewegen sich die Zähne in die gewünschte Position. Die Behandlung ist nicht nur unsichtbar, sondern auch sanft und für jeden Patienten individuell. 

Bionator-Therapie

Der Bionator nach Prof. Balters ist eine sogenannte funktionskieferorthopädische Apparatur. Er wird in der Regel bei Kindern und Jugendlichen eingesetzt, wenn sich die Kiefer noch im Wachstum befinden und ist ein wichtiger Bestandteil des ganzheitliches Behandlungskonzepts mit begleitender myofunktioneller Therapie (ganzheitliches Muskeltraining).

Der Bionator wirkt sowohl auf die Kiefermuskulatur als auch auf die Zahnstellung. Der Hauptzweck dieser Apparatur besteht darin, das Wachstum von Ober- und Unterkiefer zu beeinflussen und Fehlstellungen wie Überbiss oder Unterbiss zu korrigieren. Dabei wird der Bionator so gestaltet, dass er eine optimale Okklusion (Bissstellung) herstellt und gleichzeitig die Muskelaktivität fördert, um eine harmonische Entwicklung des Kiefers zu ermöglichen.

.

Feste Zahnspangen

Eine „feste Zahnspange“, genannt auch Multibracketapparatur, wird in der Regel bei Jugendlichen nach dem Durchbruch der bleibenden Zähne eingesetzt.

Nach ihrem Wunsch und ästhetischem Empfinden werden auf die Zähne entweder silberfarbene Metall-, oder zahnfarbene Keramik-Brackets geklebt. Durch die Einstellung des superelastischen Bogens können die Kräfte und Zahnbewegungen exakt dosiert werden. Im Laufe der Behandlung werden die Metallbögen aktiviert oder gegen stärkere ausgetauscht.

Metall-Brackets

Unsere Metall-Brackets (SmartClip-Bracket) sind selbstligierende Brackets, die für hohen Komfort sorgen. Sie ermöglichen eine präzise Dosierung der Kräfte und eine sanfte Behandlung. Diese robusten und bewährten  SmartClip-Brackets wurden in zahlreichen Studien als besonders pflegeleicht ausgezeichnet.

Keramik-Brackets

Unsere Keramik-Brackets (Clarity-Ultra-Bracket) sind zahnfarbene Brackets, die besonders ästhetisch wirken. Sie fügen sich unauffällig in das natürliche Erscheinungsbild der Zähne ein. Diese Brackets sind eine beliebte Wahl für Patienten, die Wert auf eine dezente Behandlung legen.

Anders als zahnfarbene Plastikbrackets verfärben sich die Keramikbrackts nicht während der Behandlung. Durch das glatte Design ohne scharfe Kanten sind die Clarity-Brackets besonders leicht zu reinigen.

Herausnehmbare Zahnspangen

Im Wechselgebiß kann man noch keine Brackets verwenden, weil viele bleibende Zähne im Kiefer stecken. Als Vorbereitung für die Hauptbehandlung mit Multibracketapparatur können herausnehmbare aktiven Platten, Aktivatoren, Bionatoren, Funktionsregler usw. dienen.

Diese herausnehmbaren Apparaturen können die Zahnbögen ausformen, Platz für verlagerte bleidende Zähne schaffen und die Bißlage einstellen.

Erst nach dem Durchbruch der bleibenden Zähne wird in der Regel die feste Zahnspange eingesetzt.

Retainer

Während der aktiven Behandlung haben sich die Zähne bewegt und die Retentionsphase gibt dem Kieferknochen und dem Weichgewebe die notwendige Zeit, sich an diese Veränderungen anzupassen.

Wenn das gewünschte Behandlungsergebnis erreicht wurde, setzen wir zur Sicherung Ihrer Zahnstellung für ca. 1 Jahr herausnehmbare Zahnspangen für die Nacht ein. Durch das Kauen und Sprechen tagsüber werden die Zähne in die funktionell optimale Position gebracht.

Nach dem Durchbruch aller Zähne können dann leichte durchsichtige Nachtschienen eingesetzt werden. Diese verhindern die vorzeitige Abnutzung der Kauflächen (Abrasion) beim nächtlichen Zähnepressen und Knirschen. Darüber hinaus werden die Kaumuskeln gedehnt und die Kiefergelenke entspannt.

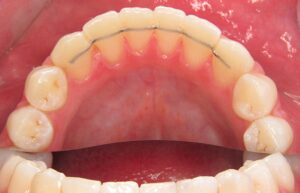
Alternativ kann zusätzlich ein von außen nicht sichtbarer, dünner Draht (Lingualretainer, oben abgebildet) von hinten an die Frontzähne angebracht werden, um die Zähne in ihrer neuen Position zu stabilisieren.

Die Retention passt sich im Laufe der Zeit an. Im ersten Jahr sind noch 2-3 Kontrolltermine erforderlich, um den Zustand Ihrer Retentionsgeräte zu überprüfen und ggf. Anpassungen vorzunehmen. Mit der Zeit vergrößern sich die Abstände zwischen den Terminen auf halbjährlich und schließlich jährlich. 

Nach erfolgreicher Kaumuskulatur-Rehabilitation durch die Myofunktionelle Therapie kann das perfekte Ergebnis auch ohne zusätzlichen Retentionsmaßnahmen langfristig stabil bleiben. 

Myofunktionelle Therapie

Die myofunktionelle Therapie ist ein wichtiger, begleitender Baustein für ein erfolgreiches und stabiles Behandlungsergebnis. Die Zunge ist ein starker Muskel, der nicht nur beim Sprechen und Schlucken eine Rolle spielt, sondern auch in Ruhe eine korrekte Position im Mund einnehmen sollte. Wenn die Funktion der Zunge nicht optimal ist, führt dies unter anderem zu Zahn- und Kieferfehlstellungen.  Die Therapie zielt darauf ab, das ungünstige Verhalten der Zunge zu korrigieren, um die Muskelbalance im Mund- und Gesichtsbereich zu verbessern.  Die Therapie kann in jedem Alter durchgeführt werden. 

Neben der Zungenfehlfunktion spielt auch die Mundatmung eine wichtige Rolle bei der Entwicklung von Kieferfehlstellungen. Mundatmung führt zur Müdigkeit, Schlafapnoe, häufigen Infektionen der Atemwege, verminderter Konzentrationsfähigkeit („ADHS“), Leistungsabfall und Kopf- /Nackenschmerzen.

Das in unserer Praxis erfolgreich verwendete FroggyMouth (wie abgebildet) ist so genial wie einfach! In nur 15 Minuten am Tag kann das von Neurologen entwickeltes Gerät das Schlucken und Atmen nachhaltig verändern. FroggyMouth kann die unterbewusste Schluckfunktion verändern und ist somit viel effektiver als andere Geräte wie z.B. Myobrace oder Faceformer.

Ähnlich gute Ergebnisse können mit dem Bionator erreicht werden.

Erfolgreiche myofunktionelle Therapie ist eine wichtige Voraussetzung für ein nachhaltig stabiles Behandlungsergebnis. Wenn die funktionelle Ursache für die Fehlentwicklung beseitigt ist, können die Zähne auch ohne langfristige Retentionsmaßnahmen ein Leben lang perfekt gerade bleiben!

Jeder Patient ist einzigartig und somit ist auch jede kieferorthopädische Behandlung individuell.

Durch die Korrektur von Zahn- und Kieferfehlstellungen gönnen Sie auch Ihrer Rücken-, Hals- und Kaumuskulatur die verdiente Entspannung.

Bei uns ist Jeder herzlich Willkommen!

Sie sehen gerade einen Platzhalterinhalt von Standard. Um auf den eigentlichen Inhalt zuzugreifen, klicken Sie auf den Button unten. Bitte beachten Sie, dass dabei Daten an Drittanbieter weitergegeben werden.

Weitere Informationen